Artificial intelligence has now fully entered our lives and work environments. We turn to it for weekly meal plans, seek its advice, interact with AI-generated images and videos, and integrate it into nearly every piece of technology we use to become more efficient. Healthcare is obviously no exception, yet it presents a very specific set of challenges and roadblocks that need addressing.
In the healthcare industry, AI is being tested and used, for everything: From generating earlier and more accurate diagnostics, which can prevent the spread of disease and improve patient health outcomes, to enhancing the collection, overview, and exchange of patient information among specialists, nurses, and other medical staff.
But with excitement we should feel a sense of caution. Data laws and limitations for machine learning on healthcare (and personal) data can be tricky, especially when applied to rare diseases, cancer treatments and patient care planning.
AI adoption: The good, the bad, and the ugly
Like all tools, AI must be used with care, especially when it comes to patient outcomes, data, and privacy. As language models continue to evolve, concerns have been raised about the implications of using generative AI on sensitive patient data. Unsurprisingly, the reality here is more complex than it initially appeared.
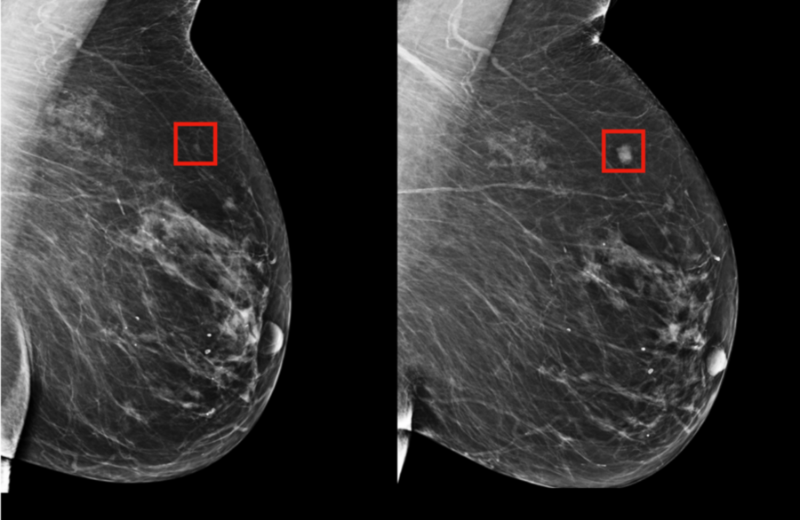
We have all seen the incredible images of early breast cancer detection done by MIT researchers. Their work in cancer treatment and prevention has already been backed up by studies, which is incredibly exciting for the industry. Yet, policymakers are worried such application of AI and machine learning could be imposing on patient’s personal data, which could be used against them or for profit by enterprises who try to sell prescriptions and medications, medical equipment and procedures.

Source: MIT
In the European Union, GDPR and other privacy protection laws are presented with significant challenges on how to deal with such use cases. Those embarking on the AI in healthcare journey must understand that building machine learning models and AI products in this space requires rigorous due diligence and care.
“We have just come from extensive conversations with local policymakers regarding the EU AI Act, and the road ahead is filled with challenges,” shared our Innovation Lead, Robert Tovornik.
“The EU AI Act establishes four risk categories for artificial intelligence systems, ranging from minimal risk to high risk. While many healthcare applications fall into the ‘high-risk’ category, meaning they require rigorous assessment and compliance checks before use, it is important to note that not all AI in healthcare is automatically high-risk. The level of risk, and thus the regulatory requirements, depends on the specific use case, the degree of human oversight, and the potential impact on patients or medical decision-making. Right now, there are many unknowns, as governments are still in the process of setting up the regulatory bodies and procedures that will ultimately determine how these rules are enforced.”

Source: Holistic AI
On the flip side, clinicians are generally eager to adopt AI for their work. Studies show that, in specific scenarios, AI can significantly improve individual workflows and time management in hospitals and clinics. AI adoption can also provide quick access to summarised information and reduce time spent on administrative or repetitive tasks, such as scheduling appointments, sending patient reminders, or managing prescription refills.
A measured step forward: AI and healthcare at Better Studio
While we continue to explore the clinical potential of AI, here at Better we have chosen to focus our efforts on the more immediate and impactful area: using AI to enhance the development process itself.
The first steps? Our AQL assistant and AI documentation support.
We have added a feature called the AI assistant for helping you create AQL queries. While it is still in the Beta stage of development, it can quickly create queries which you can copy to the editor and run, or it can explain existing queries if you need help understanding them. This allows clinicians, researchers, business analysts, and other non-technical users to work with health data without needing to learn AQL or understand the complexities of openEHR.

But it goes beyond that. We knew from our users’ experience that the AQL builder created the most friction: sometimes the queries they wrote simply didn’t work. The cause? Usually, typos or structure errors. The solution was simple: Let us make the AI do the validation and fix the error for us.

Then came our product documentation. We wanted to make it easier and more efficient for users to parse through the information available about Better Studio, which has become quite extensive. With the introduction of AI support, our users can now search for information more efficiently, ensuring they find the answers they need more quickly. Since the release earlier this month, we have improved the AI generated answers even more and hope to continue to do so in the future.

What is next?
“We have made strong progress in bringing AI into our platform capabilities, and it is an area I am genuinely excited about,” is the answer from Francesca Leithold, Global Service Delivery Director.
“What we want is that our low-code solution truly brings value to our customers. One area we are particularly focused on is optimising the form-building experience, and in the future, we would love to see AI enhance the process. Imagine being able to generate a structured monitoring form as well as a clinical dashboard for patients on antipsychotic medication, capturing physical health checks, side effect tracking, and care review schedules, through a simple prompt. This could significantly reduce implementation time for end users and accelerate the delivery of benefits for patient care.”
At Better, we are excited to continue our journey of AI adoption and implementation in all our Better products and solutions.
With low-code development at its core, Better Studio is becoming the go-to solution for healthcare providers seeking intuitive, easy-to-maintain software that doesn’t require deep technical expertise. With Better Studio, clinical applications can be built and deployed in days or weeks, rather than months and years.
Better Studio is helping reshape healthcare with AI-powered, low-code tools. Discover how we enable clinicians to build compliant, interoperable apps faster—while keeping patient care at the centre.















